生物学实验安全虚拟教研室

简要介绍

由于实验室经常接触化学试剂与玻璃仪器,对仪器或试剂的处理不慎很可能使其进入眼睛造成严重后果。因此对于异物进入眼睛的安全处理十分必要。

①如果是灰尘、颗粒等微小物体不慎入眼,闭上眼睛让异物随着眼泪一起流出或利用眼药水冲洗;

②如果是实验用试剂进入眼睛,应用大量清水或生理盐水冲洗15-30min后及时送医,在冲洗前应考虑试剂会不会与水发生反应,切忌使用热水;

③若是玻璃屑等坚硬物品不可转动眼球,更不可用手搓揉眼睛以免角膜受伤,应立即去医院接受眼科医生的治疗。取出异物之后,使用消炎的眼药水防治发炎,比如左氧氟沙星滴眼液或者妥布霉素滴眼液。如果异物损伤角膜,还需要用一下营养角膜滴眼液,比如重组牛碱性成纤维细胞生长因子滴眼液。

教学资源

评论区

提要 全站检索
  • 三氟乙酸结构式

    发布者:

    单位:

    发布时间:2021-12-03

    0
  • DEPC基本化学信息

    发布者:刘清灵SA21008087

    单位:中国科学技术大学

    发布时间:2021-12-03

    0
  • 常见固体废弃物具体分类方法2

    发布者:王子龙BZ21234042

    单位:中国科学技术大学微尺度实验中心

    发布时间:2021-12-03

    0
  • 常见固体废弃物具体分类方法

    发布者:王子龙BZ21234042

    单位:中国科学技术大学微尺度实验中心

    发布时间:2021-12-03

    0
  • 乙腈结构式

    发布者:江吴俏SA21008062

    单位:中国科学技术大学生命科学与医学部

    发布时间:2021-12-03

    0
  • 氯仿的试剂瓶储藏

    发布者:杨阳

    单位:中国科学技术大学生医部

    发布时间:2021-12-03

    0
  • 病原微生物的危害评估主要理论参考

    发布者:陈艳SA21218277

    单位:中国科学技术大学先进技术研究院

    发布时间:2021-12-03

    0
  • 标准七步洗手法视频

    发布者:张艳琪SA21168098

    单位:中国科学技术大学研究生院科学岛分院

    发布时间:2021-12-03

    0
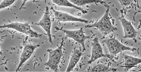
  • 细菌污染

    发布者:李涵 SA21168071

    单位:中国科学技术大学科学岛分院

    发布时间:2021-12-03

    0
  • 被细菌污染的培养基(左)呈浑浊和黄色,而未受污染的培养基(右)则呈透明和红色。

    发布者:李涵 SA21168071

    单位:中国科学技术大学科学岛分院

    发布时间:2021-12-03

    0